Onkologie von Kopf-Hals-Tumoren
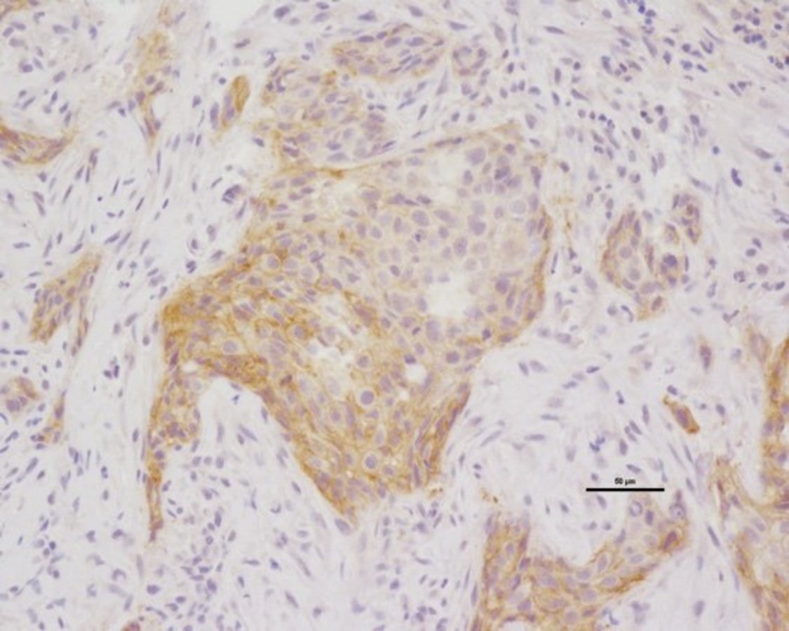
Die AG Onkologie im Bereich der Kopf-Hals-Tumorforschung betreibt eine vielschichtige Forschung, die experimentelle und klinische Ansätze vereint. Wir legen einen besonderen Schwerpunkt auf die Erforschung von Tumormarkern im Blut mittels liquid biopsy. Diese nichtinvasive Methode ermöglicht die Analyse zirkulierender Tumormoleküle und bietet somit wichtige Informationen über den Tumorstatus und seine molekularen Charakteristika, da diese bis dato in der Diagnostik und Therapie dieser Tumore fehlen. Parallel setzen wir auf die Untersuchung von Tumorgewebe mittels Immunhistochemie, um detailliertere Einblicke auf zellulärer Ebene zu gewinnen. Außerdem wird auch die Rolle des Mikrobioms bei Kopf-Hals-Tumoren berücksichtigt, in dem der Einfluss und die Wechselwirkung zwischen der Tumorbiologie und der mikrobiellen Umgebung untersucht wird. Dieser ganzheitliche Ansatz ermöglicht ein tieferes Verständnis der komplexen Zusammenhänge der Kopf-Hals-Tumorentwicklung.

Klinisch onkologisch befasst sich die AG mit zwei Schwerpunkten. Einerseits erforscht sie Stratifizierungsmuster bei Kopf-Hals-Tumoren, die mit dem Humanen Papillomavirus (HPV) assoziiert sind. Dieser Ansatz zielt darauf ab, Subgruppen von Patienten zu identifizieren, die aufgrund bestimmter molekularer oder klinischer Merkmale unterschiedliche Behandlungsstrategien benötigen. Durch die gezielte Stratifikation können personalisierte Therapieansätze entwickelt werden, um die Wirksamkeit der Behandlung zu verbessern und Nebenwirkungen zu minimieren.
Andererseits legen wir den Schwerpunkt auf Fluoroszenzgesteuerte Chirurgie bei der Resektion von Kopf-Hals-Tumoren. Durch die Anwendung von fluoreszierenden Substanzen (u.a. ICG) erhalten Chirurgen eine verbesserte Echtzeit-Visualisierung von Tumoren und der Perfusion von Lappenplastiken, was die präzise Entfernung von erkranktem Gewebe und Rekonstruktion erleichtert.
Wir sind aktiv in laufenden klinisch-onkologischen Studien engagiert, um die neuesten Entwicklungen direkt in die klinische Praxis zu übertragen.
Insgesamt verfolgt die AG Onkologie einen integrativen Ansatz, der die Erkenntnis aus experimenteller, klinischer und translationaler Forschung nutzt, um innovative Lösungen für die Herausforderungen im Bereich der Kopf-Hals-Tumoren zu entwickeln.
Kontakt/Teamleitung

Dr. med. Maximilian Oberste
Leitender Oberarzt
Forschungsschwerpunkte
- Extrazelluläre Vesikel miRNA als Liquid-Biopsy-Biomarker bei Kopf-Hals-Tumoren
- Rolle des Humanen Papilloma Virus (HPV) in der Entstehung von bösartigen Kopf-Hals-Tumoren
- Risikostratifizierung bei HPV assoziierten Oropharynxkarzinomen
- HPV-DNA-Nachweis mittels PCR im Blut zur minimal-invasiven Tumorüberwachung bei HPV assoziierten Kopf Hals Tumoren
- Analyse des Mikrobioms in der Kopf-Hals-Onkologie
- Immunhistochemische Charakterisierung des Tumorimmunmikromilieus
- Fluoreszenzgesteuerte Chirurgie in der Krankenversorgung und klinischen Forschung zugelassener Fluorphore bei Resektion von Kopf Hals Tumoren
Laufende klinische Studien
- Offene randomisierte Phase-II-Studie mit BNT113 (mRNA Vakzin) in Kombination mit Pembrolizumab im Vergleich zu Pembrolizumab-Monotherapie als Erstlinientherapie bei Patienten mit nicht resezierbarem rezidivierendem oder metastasiertem Kopf-Hals-Plattenepithelkarzinom (HNSCC), das positiv für das humane Papillomavirus 16 (HPV16+) ist und PD-L1 exprimiert (AHEAD-MERIT)
- Eine randomisierte, offene Phase-3-Studie zur Bewertung der Wirksamkeit und Sicherheit von Petosemtamab plus Pembrolizumab im Vergleich zu Pembrolizumab in der Erstlinienbehandlung von rezidiviertem oder metastasiertem PD-L1+
Unser Team

Dr. med. Maximilian Oberste
Leitender Oberarzt

Dr. rer. nat. Frank Simon
Wissenschaftlicher Mitarbeiter

Dr. med. Armands Riders
Oberarzt

Dr. med. Daria Lodde
Klinik für Hals-, Nasen- und Ohrenheilkunde
Kardinal-von-Galen-Ring 10
48149 Münster
